На один укус. Шесть видов ядовитых змей, живущих в Адыгее | ОБЩЕСТВО: Архив | ОБЩЕСТВО
Отдых на природе в живописных местах Адыгеи, особенно в теплое время года, может омрачить встреча с одним из самых древних представителей фауны мира. На территории республики водится около 10 видов ядовитых змей.
С помощью специалистов, ADIGEA.AIF.RU составил обзор основных ползающих гадов региона и оценил степень их потенциальной опасности.
Гадюка обыкновенная
Эта змея имеет толстое тело и треугольную голову. Вдоль всего туловища — зигзагообразная тёмная полоса, на голове — три больших щитка и иксообразный рисунок.
Гадюка обыкновенная. Фото: Commons.wikimedia.org/ Benny TrappСреди всех змей, яд гадюки является наиболее токсичным, однако при этом наступление смерти от укуса происходит крайне редко. При укусе змея выделяет мало яда и смерть может наступить лишь спустя несколько дней. Этого времени вполне хватит, чтобы обратиться за помощью к врачу.
Кавказская гадюка (змея Казнакова)
Это самая яркая и красивая из гадюк, обитающих в России. Кавказская гадюка по праву считается эндемиком Кавказа — она встречается лишь на склонах Большого Кавказа, в Абхазии, Грузии и Турции.
Кавказская гадюка населяет предгорные и горные широколиственные леса до высоты 800 метров над уровнем моря. Открытый в 1909 году, вид назван в честь директора Кавказского музея естественной истории в Тифлисе, известного натуралиста, географа и путешественника А. Казнакова.
Кавказская гадюка. Фото: Commons.wikimedia.org/ TimVickersДлина змеи варьируется от 4,5 до 8 см. Период активности у кавказской гадюки продолжается с марта — апреля до октября — ноября. Рацион взрослых особей разнообразен: ящерицы, лягушки, мышевидные грызуны, землеройки и мелкие птицы.
Укус кавказской гадюки смертелен для многих животных. Все дело в том, что токсины, которые попадают в кровь вместе с укусом, губительно воздействуют на жертву. Спустя несколько минут отрава начинает разъедать сосуды в теле, что приводит к внутренним кровоизлияниям. Мелкие существа умирают довольно быстро, а вот более крупным приходится помучиться какое-то время.
Если говорить о человеке, то для него яд кавказкой гадюки, к счастью, не смертелен. Однако это не означает, что он не может привести к серьезным осложнениям. Поэтому очень важно обратиться за помощью к врачу.
Степная гадюка
Гадюка встречается в республике крайне редко. От обычной гадюки степная отличается мордой с заостренными краями и более мелким размером. Она имеет тусклую окраску. И кроме зигзагообразного рисунка, расположенного вдоль хребта, пятна по бокам.
Степная гадюка. Фото: Commons.wikimedia.org/ ZwentiboldКрасная гадюка или гадюка Динника
Это единственная сильно ядовитая змея на Кавказе. Но она является обитателем высокогорий. И встретить красную гадюку можно разве что в самом сердце Кавказского биосферного заповедника, она редко спускается ниже 1500 м над уровнем моря.
Гадюка Динника. Фото: Commons.wikimedia.org/ Benny TrappКрасная гадюка — не крупная и очень красивая, благодаря яркой и изменчивой окраске. Змея предпочитает держаться на открытых пространствах альпийских лугов. Её яд смертельно опасен для человека.
Щитомордник
Одной из редких ядовитых змей Адыгеи считается щитомордник обыкновенный. Длина тела змеи составляет около 70 см, вдоль хребта идут коричневые или серые тёмные пятна. На голове имеются щитки, а туловище коричневого или серого цвета.
Щитомордник. Фото: Commons.wikimedia.org/ Bogomolov.PLВ яде этой змеи находятся токсины, которые вызывают кровотечение и некроз. Кроме этого в составе яда щитомордника есть нейротоксины, которые способны привести к параличу. Однако своевременное обращение к врачу поможет избежать смерти.
Гюрза
Ещё одна редкая змея Кавказа — гюрза. Представительница рода гигантских гадюк способна достигнуть длины в два метра. Это самый крупный представитель рода гадюк. Для человека такая змея является наиболее опасной. По своей токсичности яд гюрзы способен уступать, пожалуй, только яду кобры. При этом во время защиты змея способна совершить прыжок навстречу противнику на длину собственного тела.
Гюрза. Фото: Commons.wikimedia.org/ Zuhair AmrВодятся в Адыгее медянки, полозы, водяные и обыкновенные ужи. Но их биологи не считают ядовитыми. По словам биолога Ларисы Страшко, змеи, которые водятся на территории Адыгеи, никогда не нападают на человека первыми. Весной и летом выползают погреться на открытые пространства, заползают в расселины скал, траву или кусты. С наступлением ночи змея может приползти к костру, забраться в спальник или палатку. Их укус — реакция на потревожившего их человека, который может наступить на мирно лежащую змею или хватает палку и бьёт по пню или траве, где змея пригрелась. Встретив гадюку, нужно не совершать резких движений, а просто найти себе другое место отдыха.
Первая помощь при укусе змеи
При укусе змеи надо обездвижить пострадавшего. Лучше всего — уложить так, чтобы голова была ниже уровня ног. Таким образом сохранится мозговое кровообращение на более-менее приемлемом уровне. После этого надо выдавить и отсосать яд из ранки. Так можно удалить до 50% яда. Змеиный яд не опасен для полости рта (если только там нет порезов и язв) — доза слишком мала. Но все же после каждого отсасывания стоит сплевывать слюну. Затем следует промыть ранку и рот водой.
Выше места укуса нужно наложить повязку. Полоска любой ткани завязывается достаточно плотно, но так, чтобы между тканью и кожей можно было просунуть два пальца. Такая повязка не мешает кровотоку, но несколько замедляет распространение яда по лимфе. Чтобы снизить концентрацию яда, человека следует обильно поить. Если состояние резко ухудшается и нет медпомощи, введите пострадавшему гормональное противовоспалительное средство (например, супрастин), которое всегда есть в аптечке.
отличительные особенности, описание видов, образ жизни и ареал распространения
На планете существует множество видов змей, из которых гадюка не является самой опасной. Не стоит сравнивать её с азиатской коброй или американскими гремучими гадами, яд которых способен убить человека за считанные минуты.

Но, так или иначе, среди змей, живущих в нашей стране, гадюка несёт большую угрозу для здоровья и жизни человека.

Не зря, само слово «гадюка» произошло в давние времена от слова «гад», олицетворяющих мерзких животных.

В этой статье вы сможете ознакомиться с интересным описанием змеи гадюки.

Содержимое обзора:
Краткая характеристика ядовитой рептилии
Отличительной чертой многих гадюк является короткое и толстое тело. Наибольшая её длина доходит до 4 м, а самая мелкая змея имеет тело длиной не более 30 см. Взрослая змея весит около 16-18 кг.

На фото гадюки видна форма головы в виде округлого треугольника с видимыми выступами у висков.
Размер глаз небольшой, зрачки расположены вертикально, могут становиться сужеными или расширенными до заполнения всей глазной окружности. За счёт этого гадюки способны видеть в темноте так же хорошо, как и днём.

Не каждый человек знает, как выглядит змея гадюка. Ее окраска может быть разной, все зависит от разновидности.

К тому же, тело змеи могут украшать различные узорчатые линии. Цвет окраса зависит от того места, где она пребывает. Её тяжело увидеть рядом с собой, так как она сливается с внешней средой.

Гадюки, как это подобает ядовитым змеям, имеют клыки для выпрыскивания ядовитого вещества. Величина зубов достигает до 4 см в длину. В закрытой пасти они смыкаются и покрываются тканью в виде плёнки.

Когда змея атакует или защищается, её пасть раскрыта на 180 градусов, челюсть выполняет вращения, а клыки выпирают вперёд.

При смыкании челюсти сокращаются мышцы, вокруг которых расположены ядовитые железы. В результате этого яд выплескивается наружу.
Что едят гадюки в природе
Гадюка относится к хищным рептилиям. Приметив добычу, змея атакует её из засады.

После укуса змеи, жертва умирает через некоторое время от принятого объема яда. Далее гадюка поедает добычу, заглядывая её полностью.

Зачастую гадюки предпочитают питаться мелкими грызунами, ящерицами или лягушками. Небольшие по размерам гадюки съедают крупных жуков, а также предпочитают саранчу или гусениц.

Кто считается врагом для гадюки
В природе можно встретить животных и птиц, питающихся гадюками. Они с удовольствием поедают этот вид змей, несмотря на клыки с содержанием яда.

К таким неприятелям относятся лисы, барсуки, и некоторые птицы из отряда хищников — совы, цапли, аисты и орлы.

Вместе с тем, врагами гадюки могут стать ежи. Они не питаются змеями, однако при схватке с ними обычно побеждают.
Как долго живёт рептилия
Отметим, гадюка живёт в натуральных природных условиях около 15 лет. Однако, существуют и такие виды, долгота жизни которых составляет порядка 30 лет.

Места обитания гадюки
Встречается змея не только на просторах нашей родины, но и в других местах географии.

Гадюка выживает при любом климате и в разных местностях. Так, змея обитает в европейской и азиатской части мира, Африке, Южной и Северной Америке, Австралии и Новой Зеландии.

Способности к выживанию в разные времена года
Как правило, змеи подобного вида, живут в одном и том же месте, лишь иногда перемещаясь в период холодов. Основную часть времени змея проводит под солнечными лучами, либо утаивается под камнями.

О предстоящей зиме гадюка начинает беспокоиться с середины осени. Для этого змея ищет себе нору под землёй на глубине до 2 м.

При большом скоплении гадюк в одной местности, в норе может зимовать несколько рептилий одновременно.
В начале весны с приходом первого солнца, гадюки выползают наружу, и начинают разводить потомство.

Следствия укуса и явные признаки
Так все же, гадюка ядовитая змея или нет? Попробуем разобраться с этим. Ядовитое вещество гадюки не обладает таким сильным действием, как у кобры или гремучей змеи.

Однако, иногда этот яд может убить человека. По этому поводу стоит избегать возможных контактов с любой опасной змеей.

И в то же время, яд гадюки используют в лечении. Он служит компонентом при изготовлении некоторых видов лекарств, а также применяется при производстве косметики.

Яд содержит в себе целый комплекс полезных химических веществ. Лекарства с содержанием яда гадюки применяют как средство обезболивающего действия.

Также яд змеи входит в состав препаратов от гипертонии, дерматологических болезней.
В организм частицы яда проникают через лимфатические узлы, а после смешиваются с кровью. Признаки укуса: острая боль, гиперемия и отечность в пораженной области. При этом человека может тошнить, иногда повышается температура тела.

Важно! Если Вас укусила ядовитая рептилия, нужно немедленно обратиться к профессиональному врачу.

Размножение гадюки
Теперь пришло время рассказать о том, как размножаются змеи гадюки. Брачный период у них начинается весной с приходом тепла.

Формирование яиц происходит в утробе матери. В этом же месте вылупляются маленькие детеныши. На волю они выходят в августе или сентябре. Одна гадюка способна родить до 12 детенышей.

Появляются на свет змейки таким образом. Гадюка обматывается вокруг ствола. Держа хвост на весу, она раскидывает по поверхности земли маленьких гадов. Они уже адаптированы к жизни в природных условиях.

В окончании статьи вы можете посмотреть видео, рассказывающее всё о существовании гадюки в природных условиях.

Фото змеи гадюка




































описание, виды, образ жизни и содержание в домашних условиях
При слове «змея» большинство представляет себе крупное существо, развертывающего свои кольца, чтобы обхватить ими жертву. На самом же деле, даже обычные ужи могут показаться великанами по сравнению с другими змейками.

Самая маленькая змея в мире длиной не превышает 10 см, а ее змееныши — и вовсе 3-5 см.

Притом крошечными могут быть и ядовитые, и совершенно безопасные змеи.

Содержимое обзора:
Ядовитые маленькие змеи
Таких змей меньше, чем неядовитых, и размерами они в среднем все же крупнее.

Эфа
Это — первая маленькая ядовитая змея, которая приходит большинству в голову.

Длиной эфа достигает полуметра, обладает серовато-желтой окраской и большую часть времени проводит в пыли у дорог. Она довольно агрессивна и часто нападает на потревоживших ее людей, а также любит заползать в одежду и обувь спящих.
Водится она преимущественно на юге, в том числе, в Индии, арабских странах, пустынях Африки.

Гадюка
Карликовый подвид гадюк достигает в длину не больше 30 см. Он встречается в пустыне Калахари, где эта змея охотится на ящериц и других мелких обитателей песков.

Человека потревоженная карликовая гадюка трогает не чаще, чем обычная, и ее укус не особенно опасен: яда у нее слишком мало, чтобы убить большинство людей. Но при предрасположенности к нему можно пострадать и здесь.

Аризонский аспид
Он обитает почти исключительно в Северной Америке и является самым маленьким представителем подвида аспидов — всего 35-40 см в длину.

Сам по себе этот вид обладает яркой окраской, что хорошо видно на фото маленьких змей-аспидов, не стремится конфликтовать с людьми и даже при столкновении попытается уползти прочь.

Однако его укус, если эту змею все же удалось раздразнить, может быть очень опасен, и необходимо сразу же обращаться за помощью.
Не ядовитые змеи
Не ядовитые виды маленьких змей встречаются по всему миру, а не только в южных его частях.

Многие из них настолько малы, что человек со слабым зрением может принять одну из них за обычного червя.

Барбадосская узкоротая змея
Это и есть та очень маленькая змея, о которой упоминалось в самом начале. Она относится к подвиду слепых червеобразных, и была открыта совсем недавно, в 2008 г. Блэром Хэджем. Она питается насекомыми, в частности, муравьями и термитами, и на данный момент ее размер считается предельно допустимым.

Дело в том, что змеи — исключительно хищники, но при уменьшении размеров еще больше они просто не смогут находить добычу даже среди насекомых.

Представители всего этого семейства отличаются небольшими размерами, и рядом с барбадосской змеей в число самых маленьких на земле входит и браминский слепун.

Браминский слепун
Длина тела этой змеи — не больше 15 см.
Почти всю свою жизнь она проводит под землей, и зрение у нее практически полностью атрофировано.

Она широко распространена на юге Азии, и таких змей регулярно перевозят с место на место в кадках с землей, машинах с почвой и других схожих предметах. Она абсолютно безобидна и охотится только на насекомых и червей.

Каламарии
Существует много видов карликовых змеек-каламарий, но наиболее популярна среди них каламария Линнея. Она же — и самая маленькая, ее размеры в среднем не больше 33 см.

При это каламарии для своего роста очень сильные активные животные, они способны рыть ходы в земле и заползать под камни. Питаются они насекомыми, червями, птенцами и детенышами ящериц.

У них также есть особый защитный прием: узор на хвосте каламарии в точности повторяет изображение ее морды, поэтому такие змеи способны хвостом отвлекать врага, пока голова уползает все дальше.

Ужи
Ужи водятся по всему миру и, особенно лесные, не превышают длиной 40-50 см.
Как правило, они черной, зеленоватой или коричневатой окраски, без особенных узоров, и человека не кусают. Часто их даже держат как домашних животных.

Основная пища ужей — черви, насекомые и наиболее мелкие грызуны.

Как правило, выбирают сырые полутемные участки земли, прячутся в палых листьях, корнях деревьев и по берегам водоемов.

Медянка
Это еще один подвид часто встречающейся на территории России не ядовитой небольшой змеи. Она может достигать 70 см в длину и также относится к ужеобразным.

Цвета медянки — разные оттенки коричневого. Это совершенно безобидная, если ее не трогать, змея, которая, однако, при попытках ее поймать, начинает яростно кусаться.

Медянки довольно агрессивны, хоть и не ядовиты, и могут даже нанести человеку серьезную травму.

Фото маленьких змей



























жизненный цикл, внешний вид и особенности укуса (95 фото)
Содержимое обзора:
Многие знают, что змея гадюка является опасной для жизни человека и часто встречается в нашей части мира. Только вот обычно, это почти все, что знают об этой рептилии люди. Это очень интересная змея, и мы расскажем почему.

Описание
Змеи могут быть разной длинны и размера. Что касается описания змеи гадюки, то они могут вырастать до четырех метров в длину. Однако стоит знать, что некоторые гадюки могут быть не длиннее 30-ти см. в таком случае у них тело будет короче, но толще, чем у обычной гадюки. Взрослая особь этого вида может весить до 20-ти кг.

Голова у них треугольная, с характерными выступами по сторонам. Как вы могли уже знать, у многих змей хорошо развито зрение, и гадюка в этом плане не стала исключением. Заслуга за это лежит на вертикальных зрачках, которые при недостатке света расширяются, и могут заполнить всю плоскость глаза. Благодаря такому строению, гадюка может видеть даже ночью.

Гадюка относится к ядовитым видам змей, а потому имеет характерные клыки, которые находятся на верхней челюсти, как и железы с ядом. Эти клыки могут доходить до четырех сантиметров в длину. При закрытом состоянии пасти они находятся в сложенном виде.

При желании гадюка может открывать свою пасть на 180 градусов. Для того чтобы выплеснуть яд, змее требуется сократить мышцы, которые находятся вокруг клыков.

Обратите внимание!
Если вам приходилось видеть фото гадюки, то вы можете знать, что природа наградила их огромным разнообразием раскрасок. Чаще всего можно встретить самцов серого цвета и самок – коричневого. Окрас обычно разбавлен узорами, пятнами и полосами, которые идут по спине.
Питание
Теперь, когда мы знаем, как выглядит змея гадюка можно поговорить о том, что она предпочитает в качестве еды. Прежде всего гадюки – хищники, которые ждут свою жертву и нападают из укромного и незаметного места.

На охоту они обычно выходят именно ночью, поскольку в это время суток у них появляется преимущество за счет зрения, да и заметить их намного сложнее в такой ситуации.

Основу рациона составляют мелкие млекопитающие, птицы, лягушки или ящерицы. У гадюк поменьше все уже не так весело – мясо для них редкость, ввиду размера, а потому приходиться довольствоваться бабочками, жуками и даже саранчой.

Враги
Ранее мы разобрались с тем, ядовитая змея гадюка или нет, а потому можем предположить, что врагами этого вида могут быть животные, которые либо не боятся их яда, либо могут справиться с гадюкой, не дав себя укусить. Гадюки могут жить около 20-ти лет, но их век может укоротить барсук, лиса или хорек.

Отдельно хотелось бы выделить диких кабанов – это как раз тот случай, когда врагу нет дела до яда гадюки. Дикие кабаны имеют полный иммунитет к яду этой змеи, а потому не стесняются нападать на них при возможности.
Обратите внимание!

Птицы тоже представляют опасность для гадюк. Среди них выделяются орлы, совы, аисты. Обычный ежик не является животным, которое хочет сожрать гадюку, однако часто вступает с ней в драки, в которых обычно побеждает.

Размножение
Создание потомства является неотъемлемой частью жизни, а потому поговорим о том, как размножаются змеи гадюки. Период половой активности припадает на конец весны – май.

Все время яйца хранятся в утробе матери, и только после рождения детеныши могут увидеть свет. Обычно гадюке нужно около трех месяцев, чтоб детеныши вылупились из яиц. За один брачный сезон самка может привести около десятка маленьких змей.

Само рождение заслуживает отдельного разговора. Для начала это вообще сложно назвать рождением, ведь по сути это что-то вроде сброса груза, не иначе.
Детеныши вылупляются внутри своей матери, и проводят там некоторое время, пока не будут полностью готовы к самостоятельной жизни. После этого самка находит дерево и обвивается вокруг него.

Обратите внимание!
Дальше самое интересное – хвост остается в подвешенном состоянии, после чего она начинает им быстро вилять, чтоб выбросить из себя всех детенышей. А вы думали вас родители резко выбрасывают во взрослую жизнь.

В этот момент каждый из детенышей около 10-ти сантиметров в длину. Начиная с раннего возраста гадюки начинают сбрасывать старую кожу – происходит это несколько раз в месяц.

Гадюка или уж
Одна из самых популярных тем в нашем регионе, и не просто так. Все потому, что гадюка и уж являются самыми распространенными змеями в странах СНГ. Внешне у них есть сильное сходство, из-за которого можно либо отделаться испугом, или же сильно пострадать.

Для начала нужно тщательнее смотреть на внешний вид, ведь их можно встретить в одних и тех же местах. Отличительной чертой ужа считаются желтые пятна на голове. Они еще могут быть оранжевыми, однако всегда присутствуют.

Кроме того, смотрите на размер – обычно ужи вырастают длиннее гадюк, но вам может не повезти. В таком случае вы случайно встретите либо ужа короче обычного, либо очень длинную гадюку.

При этом присмотритесь к хвосту – у гадюки он короче, но толще. В случае с ужом все наоборот – длиннее, но тоньше. Ну и самое очевидное – клыки, у ужа их попросту нету, а вот у ядовитой гадюки еще как есть.
Фото змеи гадюки

















Также рекомендуем просмотреть:
Индийские змеи — опасное соседство, описание основных видов ядовитых пресмыкающихся
Индия — страна не только буйволов, рассказов Киплинга и обезьян, но это также и одна из стран в мире, где водится больше всего змей, и их виды очень разнообразны.

Самая популярная индийская змея — кобра. Именно про нее рассказывают многочисленные сказки, именно кобр приручают факиры и фотографируют туристы.

Но в этой стране есть интересные виды и кроме нее.

Содержимое обзора:
Ядовитые змеи Индии
Большинство укусов ядовитых змей приходится на четыре их вида.

Очковая кобра
Укусы змеи очень ядовиты, и необходимо почти сразу ввести нейтрализующую сыворотку.

Очковая индийская змея предпочитает места у водоемов, в тени и прохладе. Поэтому с ней часто сталкиваются женщины, спускающиеся к реке или озеру набрать воды.
Охотно устраиваются очковые кобры также в глубине зарослей, часто выползают греться на солцне на отдельных открытых площадках.

Крайт
На фото индийских змей это — одна из самых красивых, но и из самых опасных тоже.

Сама по себе это серо-черная змея с множеством белых полосок и пятен на теле, так что когда она движется, то напоминает собой ту самую пеструю ленту из рассказа Конан Дойля.

Также, как и кобра, крайт предпочитает тихие темные места вроде зарослей джунглей, полей, окрестностей водоемов. Однако его укус значительно опаснее и действует быстрее.

Гадюка Рассела
Это довольно крупная змея с темными пятнами на теле. Она предпочитает находиться в полях, кустах, вблизи сельских дорог, поэтому часто сталкивается с людьми.

Сама по себе гадюка Рассела очень агрессивна и ядовита, поэтому представляет собой большую опасность.
Эфа
Это одна из наиболее мелких и наиболее опасных индийских змей. Она серовато-желтая, почти незаметна в пыли, и предпочитает находиться рядом с людьми, по ночам даже вползая в дома.

Именно из-за ее незаметности на долю эфы приходится чуть ли не большая часть смертей из-за укусов змеи в Индии.

Если она нападает на спящего человека, тот обычно не просыпается и теряет таким образом шанс использовать сыворотку.

Не ядовитые змеи
Широко распространены в Индии и некоторые виды не ядовитых змей.

Бородавчатая змея
Индийская бородавчатая змея получила свое название из-за необычной формы чешуи: каждая чешуйка на ее теле выпуклая и шершавая.

Сама по себе она довольно крупная, темная по окраске и не агрессивна к людям. Напуганная бородавчатая змея может укусить человека, но яда она не занесет и без особой причины делать это не будет.
Крысиная змея
Индийская крысиная змея предпочитает скрываться от людей в кустах и зарослях, можно ее заметить и среди старых развалин.

Сама она не стремится к контакту с человеком в отличие от той же гадюки Рассела или эфы, и выбирается чаще всего по ночам.

Основная ее пища — грызуны и другие мелкие животные, потому ее и называют крысиной змеей.

В Индии она считается даже полезной, поскольку уменьшает количество крыс и других вредителей.

Оба эти вида, так же, как и многие ядовитые змеи, предпочитают находиться в прохладных полутемных местах возле водоемов.

Значение змей в Индии
Змей в Индии огромное количество, поэтому их упоминания можно встретить в каждой первой сказке и мифологической истории.
Змеи рядом с людьми: обычная жизнь
Многие хозяйки ставят змеям блюдце молока на ночь, считая, что таким образом уберегут своих домашних от укусов.

Часто змей прикармливают также в сельских храмах, змеи участвуют в представлениях факиров.

Для людей, работающих в поле или из деревни пешком направляющихся в город, остерегаться змей — такое же обычное дело, как для нас — следить за тем, не появился ли на дороге автомобиль.

Змеи в мифологии
Именно из Индии пришла популярная в современном фэнтези раса нагов — полулюдей-полузмей или змей, способных принимать человеческий вид.

Долгое время им поклонялись практически как божествам, возникло множество сказок и легенд на этой основе. Многие из них существуют и сейчас.

Со змеями связано также множество поверий: считается, что они способны преследовать или, напротив, избегать определенного человека.
Широко распространены истории про змеиного царя, которого изображают, как правило, в виде огромного удава или очковой кобры.

Фото индийских змей

















































Змеи Крыма — ядовитые и безопасные виды рептилий Крымского полуострова
Крымский полуостров обладает огромным количеством не только различной растительности, но и животных. В статье будет рассказано о том, какие змеи обитают в Крыму. Некоторые из них опасны, некоторые нет. Часть из этих пресмыкающихся находится даже в Красной книге.

Не все змеи, встречающиеся в Крыму, смертельно опасны для человека, который с ними встретится. Ядовитых змей в Крыму мало, точнее всего одна. Это степная гадюка. Все остальные не опасны для человека.

Кроме гадюки есть всего одна змея, которой стоит остерегаться. Ее называют желтобрюхим полозом. Ниже рассмотрим подробнее каждый вид пресмыкающихся.
Содержимое обзора:
Степная гадюка
Выше говорилось о том, что это одна из самых опасных змей Крыма, так как это единственная ядовитая рептилия на полуострове. Но при этом смертей после укуса зафиксировано не было.

Также нет информации о том, были ли летальные исходы вообще. В то же время, от пауков (например, каракурта) люди страдают достаточно регулярно.

Длина степной гадюки в среднем составляет не больше 60 см, то есть она своими размерами уступает любой другой змее. Встретить ее можно по всему полуострову, в степях, лесах и склонах. Даже на Керченском полуострове обитают представители этого вида змей.

Цвет гадюки серый с темными узорами в форме зигзага или пятен. Также можно увидеть меланиста – подвид змеи полностью черного цвета.

Яд обладает гемолитическим действием. Он разрушает стенки кровеносных сосудов и формулу крови. Укушенное место всегда опухает, болит и краснеет, в редких случаях синеет. Также может появиться головная боль и повышенная температура.

Противоядие, конечно же, придумано, но не факт что его можно достать без проблем в больнице, расположенной в районе. Кроме того, змея редко атакует прямо у входа в медпункт.

Укушенному человеку противопоказано двигаться, так как из-за этого яд быстрее разносится по организму.

Простой способ помочь пострадавшему заключается в его удобном устройстве, охлаждении укушенной части. Также следует употреблять много жидкости, но не алкоголь, и жаропонижающее.

Буквально через пару часов исчезают симптомы, но в течении нескольких недель на теле могут появляться синяки.

Медянка
Медянка – безопасная рептилия, которая пала жертвой безрассудства людей. Человек предпочитает не смотреть фото змей Крыма (и не только) изучать животных, которые встречаются на определенной территории, а сразу уничтожать всех без разбора. Из-за этого безобидная змея оказалось в Красной книге.
Обыкновенная медянка (Coronella austriaca) – маленькая змея (длина обычно не превышает 80 см), имеющая разнообразный окрас.

Чаще всего встречаются особи рыжевато-коричневого цвета с металлическим отливом. Но также можно увидеть серых, черных и коричневых рептилий.

Медянка безопасна для человека. Яда у нее нет, зубы сами по себе маленькие. Большие змеи могут поцарапать кожу (эффект будет такой же, как после игры с маленьким котенком).

Заживет это рана буквально за несколько дней. При этом молодые змеи не способны нанести вред коже человека. Основа рациона – ящерица, иногда – птенцы и насекомые.

Ужи
На полуострове можно встретить представителей видов, которые также встречаются и в средней полосе России. Хороший пример — обыкновенный уж (natrix natrix), который всем известен.

Обладает средними размерами и темным окрасом с желтыми или белыми пятнами на голове. Змея любит влагу, а питаться предпочитает лягушками или мышами.

Ближайший родственник – водяной уж, который постоянно живет у водоемов. К счастью, эту змею в черном море Крыма встретить невозможно. Питается практически только лягушками, почти как француз. Окрас посветлее, а пятна на голове не так заметны.

Ужи кусают людей не часто, но это все равно неприятный процесс. Яда змеи не имеют, но зубы загнуты для удержания своей добычи. Из-за этого рептилия может порвать кожу.

Самая большая опасность – возможная инфекция на зубах, которая может попасть в кровь. Никаких противоядий для лечения не требуется, достаточно обеззаразить ранку.

Полоз
Змеи из семейства полозов в Крыму встречаются, хоть и не часто. Этих рептилий можно считать экзотическими, не смотря на то, что они с ужами являются близкими родственниками.

Желтобрюхий, или каспийский, полоз (Dolichophis caspius) – самая крупная из водящихся на полуострове змей. Длина ее может достигать двух метров. Окрас у полоза темный, а брюшко, наоборот, оранжевое или ярко-желтое.
Пресмыкающееся без проблем может залезть на дерево, поэтому частенько ее можно встретить в виноградниках.

Змея достаточно часто кусает людей (но не нападает сама, а реагирует на внешний раздражитель), но, благодаря отсутствую яда, особой опасности не представляет.

Но все равно, полоз достаточно крупная змея, поэтому место укуса будет болеть. После укуса лучше обеззаразить рану и перебинтовать ее. Через несколько дней все заживет.

Фото змей Крыма


































Рубцы и волдыри от укусов змей
Укусы змей со всего мира
By, Ph.d.
Человек на этом видео укусил одну из самых опасных змей в Соединенных Штатах. Змея кусается, пока он пытается сфотографировать змею. С этого момента начинается борьба, чтобы как можно скорее добраться до ближайшей больницы, чтобы он мог получить противоядие; иначе он мог умереть. Видео — хорошая иллюстрация того, почему вы должны держаться подальше от змей.
Ядовитые виды не только наносят серьезные раны, но и относительно мягкие змеи, такие как водяная змея, могут вызывать волдыри и шрамы и, что еще хуже, опасные для жизни инфекции.
На этой первой фотографии изображена относительно легкая травма в результате укуса водяной змеи. По всей видимости, результатом царапин пострадавшего стала аллергическая реакция и волдыри. Человеку с волдырями обязательно нужно сделать прививку от столбняка.Если вы ищете более отвратительные фотографии укусов, смотрите дальше вниз.
Большинство укусов ядовитых животных остается без лечения, и они должны зажить автоматически.
Поскольку большинство людей способны пережить укус ядовитой змеи, несмотря на отравление, в большинстве случаев противоядие не требуется. Во-вторых, большинство противоядий оказывают пагубное воздействие на органы людей, и их следует исключать из лечения, когда это возможно.
Первый вредный эффект противоядия заключается в том, что оно нарушает функцию почек и, в некоторых случаях, серьезно повреждает почки.Большинство укусов медноголовых и ватных змей не лечатся ничем, кроме уколов от столбняка и мыла.
Каждый раз, когда противоядие не вводится, врач оценивает, являются ли потенциальные побочные эффекты противоядия хуже, чем последствия отравления.
Фотографии укусов змеи
Раны бывают хроническими или не хроническими, и ниже приведены их примеры. Некоторые из шрамов внизу со временем посветлели, а некоторые — нет.
Смертельные случаи от укусов змей относительно редки, но укусы змей — нет, и, хотя число укусов увеличивается, количество смертельных случаев остается практически постоянным.
Избегать укусов
Если следовать трем простым рекомендациям, риск укуса случайно встреченной змеи значительно снижается:
- Не беритесь со змеей, если у вас нет опыта обращения со змеями.
- Держитесь подальше от высокой травы и продолжайте идти по пешеходным тропам.
- Избегайте скалолазания и будьте осторожны при лазании по камням.
Некроз
Укусы и некроз ядовитых змей с отмиранием тканей в месте укуса сопутствуют друг другу.На картинке ниже показано, насколько обширным становится некроз в тяжелых случаях. Степень некроза зависит от того, насколько ядовитой была змея.
Наиболее частым признаком того, что вас укусила змея, является сильная боль. Выше показано изображение лабрадора, укусившего лицо, вероятно, медноголовой или ватно-пастой змеей.
Некоторые из наиболее частых симптомов укуса змеи: сильная боль, кровотечение из раны, следы на коже и припухлость в месте укуса змеи, диарея, сильная боль вокруг места укуса, судороги непредсказуемой степени тяжести, размытые. зрение, бессилие, головокружение и обмороки.
Если после выписки из больницы вы почувствуете кровоточивость десен или любое необычное кровотечение, вам следует немедленно вернуться в больницу.
Для получения дополнительной информации о процедурах после укуса ядовитой змеи посетите сайт Alabama Herps.
Рана от укуса змеи через несколько дней после инцидента
На фото ниже показано, как укус змеи может развиться через несколько дней после травмы.
Ампутация: последнее средство
Наихудший вариант развития событий — укусы в местах, где немедленная медицинская помощь недоступна.В таких острых случаях ампутации могут быть окончательной альтернативой смерти. Африканский ребенок на изображении ниже находился в такой ситуации, и врачи определили, что ампутация его левой ноги была лучшим вариантом.
Благодарности
Спасибо Oakley Origins за разрешение использовать его фотографию.
Политика конфиденциальности
Ознакомьтесь с политикой конфиденциальности этого веб-сайта
Copyright © www.venomoussnakes.net Все права защищены.
.
Укусы ядовитых змей вызывают опухание мускулов у 2 японских мужчин
Укусы змей заставили двух мужчин бороться за свою жизнь после того, как яд заставил их мышцы опухнуть.
В 2016 и 2008 годах у двух мужчин, предположительно из Японии, был диагностирован синдром острого компартмента (ОКС) после обращения в больницу с жалобами на мучительную боль и припухлость без видимой причины.
В журнале, опубликованном в начале этого месяца, выяснилось, что у мужчин сильно увеличены мышцы, а также они страдают от повреждения почек, паралича и отмирания тканей.
После длительного пребывания в больнице, продолжавшегося до 48 дней, обоих мужчин выписали, но потребовались годы, прежде чем их перестали мучить мучительные симптомы.
Врачи считают, что их ОКС произошел из-за ядовитого укуса мамуши, самой распространенной змеи в Японии и считающейся самой опасной, убивая до 10 человек в год.
Яд мамуши вызывает разжижение тканей человека, что может вызвать сильный отек, а также потерю зрения и внутреннее свертывание крови.
Хотя ни одно из средних не показывало никаких признаков укусов, раны мамуши часто остаются незамеченными из-за того, что змеиные клыки очень тонкие и всего около 5 мм в длину, и многие считают незначительную боль осколками.

Первому пациенту потребовалась операция для снятия давления, вызванного набуханием мышц руки

У второго наблюдался заметный отек правой ноги без очевидной причины

Врачи считают, что их симптомы возникли из-за ядовитого укуса от мамуши (на фото), которая является самой распространенной змеей в Японии и считается самой опасной
ЧТО ТАКОЕ СИНДРОМ ОТДЕЛЕНИЯ?
Синдром компартмента — это болезненное и потенциально серьезное состояние, вызванное кровотечением или отеком в пределах связки мышц.
Это вызывает повышение давления, которое ограничивает кровоток в этой области и может повредить близлежащие мышцы и нервы.
Чаще всего поражаются ноги, ступни, руки и кисти.
Синдром острого компартмента возникает внезапно после перелома или травмы.
Это требует немедленного лечения для предотвращения необратимого повреждения мышц.
Симптомы включают сильную боль, болезненность, стеснение, покалывание и онемение.
Лечение включает разрез в мышцах для снятия давления.
Синдром хронического компартмента возникает постепенно после повторяющихся упражнений, таких как бег.
Обычно это проходит в течение нескольких минут после остановки действия.
Симптомы включают схваткообразную боль, отек, покалывание, бледность или похолодание пораженного участка и затрудненное движение.
Лечение может включать прекращение активности, вызывающей проблему, а также прием физиотерапевтических и противовоспалительных препаратов.
Источник: NHS Choices
Мужчина потерял способность двигать рукой
В апреле 2016 года, по данным BMJ Case Reports, в апреле 2016 года неизвестный мужчина 38 лет обратился в больницу с жалобами на сильную боль в левой руке.
За восемь часов до госпитализации пациент упал в своем саду, и у него на левом предплечье появился отек с терпимой болью.
Сканирование не выявило переломов костей или внутреннего кровотечения, но его боль и опухоль усилились, что заставило врачей предположить, что он страдал от ОКС.
Помимо развития косоглазия и двоения в глазах, тесты выявили признаки повреждения и воспаления печени.
Вскоре после его прибытия в больницу была проведена операция, чтобы снять опухоль и вымыть предполагаемый яд из пораженного участка.
Хотя пациенту была назначена высокая доза антибиотиков, всего через два дня у него появился избыток жидкости в левом легком и вокруг сердца. Он также потерял способность двигать пораженной рукой и рукой.
После проведения гемодиализа, который очищает кровь, на четвертый день состояние пациента постепенно улучшилось, и, наконец, через 32 дня он был выписан с полным движением кисти и руки.
Он сказал: «Я доволен лечением, которое мне оказала медицинская бригада.
«Я полностью вернулся к состоянию до травмы через 3 месяца после травмы».

Набухание левой руки первого пациента, предположительно из-за укуса змеи

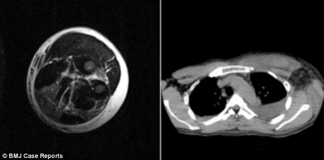
Слева: показывает избыток жидкости в тканях и мышцах левой руки первого пациента. Справа: показать «вода в легких» и избыток жидкости в области непосредственно перед сердцем или над его сердцем

Слева и справа: показать избыток жидкости в артерии, снабжающей кровью правую ногу второго пациента
Укус вызвал паралич, который длилось два года
В июле 2008 года 42-летний мужчина, не названный по имени, обратился в больницу с жалобами на сильную боль и опухоль в ногах.
Восемнадцатью часами ранее он споткнулся в уличной канаве, и его лечили антибиотиками в другом медицинском центре.
Там его направили к специалисту после того, как врачи заподозрили, что его мягкие ткани начали умирать из-за попадания бактерий в его тело.
В специализированной больнице ему поставили диагноз ОКС, и в течение двух часов ему сделали операцию по снятию давления на ноги.
Пациент выписан на 48-е сутки с легким параличом, который полностью не исчез в течение двух лет.
Он сказал: «Я доволен медицинской помощью, которую мне оказал персонал больницы.
«Хотя у меня были легкие симптомы паралича малоберцового нерва в течение примерно двух лет после лечения, я все еще мог выполнять свои повседневные дела».
.